Smile Gallery
All the work you see in this gallery was done by the Doctors of Crognale, Collins & Crognale.
Before
After
Porcelain Veneers, Bonding and Crowns
This patient was not happy with her overall smile. Using a combination of porcelain veneers, bonding (to help keep costs down) and crowns, we were able to help her find the improvement she was looking for.
Before
After
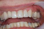
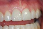
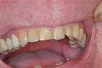
Smile Makeover with Porcelain Veneers
This patient was just treated by Dr. Melissa Crognale. At age 57, he was tired of the appearance of his upper teeth. As you can see from the before pictures, his teeth were different colors, poor color harmony and discolored roots. He wanted a more uniform, lighter color. He was very happy with what she was able to do for him.
Before
After
Invisalign
This young Lancaster, PA professional woman had always been unhappy with her crooked teeth. We were able to give her the smile she wanted in less than a year using Invisalign. She is very happy with the results. Our convenient financing makes Invisalign more affordable than you might think. Call us today for a free consultation if you mention you saw this on our website.
Before
After
Implants
This patient was unhappy with how yellow her front right tooth was and how grey the ones beside it were. She had an old style bridge which was made of silver metal that attached the front false tooth to the ones beside it. We removed this and placed an implant and new cap. She is very happy with the result!
Before
After
Bonding
This Lancaster, Pa. gentleman, age 70, came in wanting to improve the color and shape of his teeth. We used tooth-colored filling material bonded to his front six teeth. As you can see, his teeth appear straighter, more even, and somewhat lighter in color.
Before
After
After
Bonding 2
This very pleasant lady was tired of her chipped and broken front teeth. We used tooth colored filling material to give her the improvement she was looking for. She is now saving to have her lower front teeth done.
Before
After
Smile Makeover with Bonding
This 35-year-old mom wanted a lighter, more youthful smile. We were able to improve the color, shape, and arrangement of her teeth to give her the look she wanted. We did this by using tooth-colored filling material bonded to her front six teeth.
Before
After
Porcelain Veneers
This 50-something woman was unhappy with the appearance of her four front teeth. Using laboratory custom-made veneers, she is now very pleased with how she looks. We custom match every case for the best possible look.
Before
After
Porcelain Veneers 2
This young lady (60-ish) is a very well-known Lancaster business woman. She didn't like the dull, flat appearance of her teeth. Using twelve porcelain veneers, she now has the smile she wants. Her customers ask her if she had a face lift!
Before
After
Smile Makeover with Porcelain Veneers
This dental hygienist never liked the pitted, discolored look of her front teeth. We placed porcelain veneers on her front four teeth and all-porcelain crowns on her side teeth to completely refine her appearance. She is thrilled that she took the plunge!
Improve your smile today – call to schedule a consultation!
Claim Now!
Smile Gallery Categories
John
Always doing a wonderful painless job at keeping my teeth beautiful. Pleasant, friendly, out going staff that treat you like family. We have been going to Melissa for years and would recommend for anyone looking for great service.